Chihuahua dog tooth abscess pictures are a common sight among Chihuahua owners. Tooth abscesses in dogs can be painful and may lead to other health problems if not treated properly. In this article, we will discuss what tooth abscesses are, the related problems and solutions, frequently asked questions, tips, and a conclusion on Chihuahua dog tooth abscess pictures.
What is a Tooth Abscess in Dogs?
A tooth abscess in dogs is a bacterial infection that occurs in the root of the tooth. It can be caused by a broken tooth, periodontal disease, or other oral infections. The abscess can cause swelling and pain, and if left untreated, can spread to other parts of the body.
Related Problems and Solutions
One related problem is that dogs with tooth abscesses may stop eating or have difficulty eating due to the pain. This can lead to weight loss and malnutrition. Another related problem is that the infection can spread to other parts of the body, such as the jawbone or sinuses, causing more serious health problems.
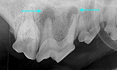
The solution to tooth abscesses in dogs is to seek veterinary care immediately. The veterinarian will likely perform a dental exam and possibly take x-rays to determine the extent of the infection. Treatment may include antibiotics, pain medication, and in some cases, extraction of the affected tooth.
Frequently Asked Questions
Can tooth abscesses in dogs be prevented?
Yes, tooth abscesses in dogs can be prevented by practicing good dental hygiene. This includes regular brushing, using dental treats or toys, and scheduling regular dental cleanings with a veterinarian.
Is it safe to extract a dog's tooth?
Yes, it is safe to extract a dog's tooth if done by a trained veterinarian. The procedure is typically done under anesthesia to ensure the dog is comfortable and pain-free during the process.
How long does it take for a dog's tooth abscess to heal?
The healing time for a dog's tooth abscess depends on the severity of the infection and the treatment used. With proper veterinary care, most dogs will show improvement within a few days to a week.
Tips
Here are some tips to help prevent tooth abscesses in Chihuahuas:
- Brush your dog's teeth regularly.
- Use dental treats or toys to help clean teeth.
- Schedule regular dental cleanings with a veterinarian.
- Feed your dog a healthy diet to promote overall dental health.
Conclusion
Chihuahua dog tooth abscess pictures are a common sight, but with proper veterinary care and good dental hygiene practices, they can be prevented. If you notice any signs of dental problems in your Chihuahua, such as difficulty eating or bad breath, seek veterinary care immediately. Remember, prevention is key to maintaining your dog's overall health and well-being.
References
- American Kennel Club: Tooth Abscess in Dogs
- PetMD: Tooth Root Abscess in Dogs
- Washington State University College of Veterinary Medicine: Dental Care for Dogs and Cats
Keywords: Chihuahua, dog, tooth abscess, infection, dental hygiene, veterinary care
